Bessere Krebsbiomarker – abgeguckt bei Google und Facebook

Veränderter Algorithmus der Suchmaschine untersucht 20.000 Proteine

21.05.2012 - Deutschland

Google liefert gute Suchergebnisse, weil es nicht nur Webseiten, sondern auch die Hyperlinks zwischen ihnen berücksichtigt. Eine ähnliche Strategie kommt zum Einsatz, um zu entscheiden, welche Proteine im Tumor eines Patienten relevant für den Krankheitsverlauf sind. Forscher des Biotechnologischen Zentrums der Universität Dresden (BIOTEC) haben gemeinsam mit einer Arbeitsgruppe des Dresdner Universitätsklinikums Carl Gustav Carus (UKD) eine modifizierte Version von Googles PageRank-Algorithmus benutzt, um 20.000 Proteine nach ihrem Einfluss auf das Voranschreiten von Bauchspeicheldrüsenkrebs zu untersuchen. In der Studie, die in dem amerikanischen Fachjournal „PLoS Computational Biology“ veröffentlicht wurde, haben die Forscher sieben Proteine gefunden, die dabei helfen können, die Aggressivität eines diagnostizierten Tumors anhand des Tumorgewebes zu bestimmen. Diese Information kann dem behandelnden Arzt helfen zu entscheiden, ob der Patient eine Chemotherapie erhalten sollte oder nicht.

Der neu erarbeitete Algorithmus der Dresdner Forscher durchsucht nicht das Internet, sondern Daten, welche die Gen- und Proteinaktivität im Tumorgewebe beschreiben, welches standardmäßig während der Operation entnommen wird. Gesucht wird nach sogenannten Biomarkern – Molekülen, die vom Tumor produziert werden und die den weiteren Verlauf oder das Wiederauftreten einer Krebserkrankung anzeigen können. Trotz intensiver weltweiter Forschung wurden bisher nur wenige verlässliche Biomarker gefunden. Ein wesentliches Problem ist die große Anzahl an möglichen Markern und die Tatsache, dass in Studien gefundene Marker in anderen Studien oft nicht reproduzierbar sind.

In der aktuellen Studie ist dieses Problem durch eine der Suchmaschine Google abgeschauten Strategie gelöst worden: Proteine in einer Zelle gehen häufig Partnerschaften ein, um gemeinsam eine Aufgabe zu erfüllen. Dieses soziale Netzwerk der Proteine, das „Protein-Facebook“ sozusagen, half entscheidend bei der Biomarkersuche. „Nachdem wir die Netzwerkinformation der Proteine in unsere Analyse aufgenommen hatten, haben sich unsere Ergebnisse deutlich verbessert und konnten reproduziert werden“, erläutet Dr. Christof Winter aus der Arbeitsgruppe von Prof. Michael Schroeder am BIOTEC.

Eine frühere Studie der University of North Carolina (USA) fand bereits sechs Proteine, welche die Aggressivität von Bauchspeicheldrüsenkrebs anzeigen. Eines dieser Proteine wurde auch in der Dresdner Studie gefunden. Obwohl die neuen Biomarker eine Verbesserung gegenüber aktuell verwendeten Methoden darstellen, ist es noch ein weiter Weg bis zur klinischen Anwendung. In einer größeren Studie muss erst gezeigt werden, wie gut die Marker wirklich die Proteine herausfiltern, die den weiteren Verlauf der Krebserkrankung anzeigen.

„Es wäre ein sehr wichtiger Schritt, aggressive Therapien wie eine Chemotherapie nur bei den Patienten einzusetzen, die mit großer Wahrscheinlichkeit davon profitieren werden. Dabei könnten solche prädiktiven Tests helfen“, sagt Prof. Robert Grützmann, Oberarzt und Wissenschaftler in der Klinik für Viszeral-, Thorax- und Gefäßchirurgie des UKD. Derzeit erkranken nach Angaben der Deutschen Krebshilfe in Deutschland jedes Jahr 14.200 Menschen neu an Bauspeicheldrüsenkrebs. Mehr noch als bei manch anderer Krebsart gilt bei Bauchspeicheldrüsenkrebs, dass die Heilungs- und Überlebenschancen umso besser sind, je früher der Tumor erkannt und behandelt wird.

Somit ist es auch eine wichtige Frage, ob und wie die Marker dabei helfen können, Medikamente zu entwickeln, die das Krebswachstum hemmen. In Zusammenarbeit mit der Dresdner Firma „RESprotect“, welche sich auf die Medikamentenentwicklung bei Bauchspeicheldrüsenkrebs spezialisiert hat, werden die Wissenschaftler nun daran arbeiten, ihre Erkenntnisse langfristig in eine verbesserte Therapie zu übertragen.

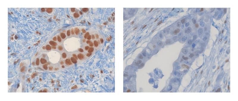
©UKD, Vera Hentrich

Das entnommene Gewebe von zwei Patienten mit Bauchspeicheldrüsenkrebs zeigt braun gefärbt die Biomarkerproteine an. In der linken Probe lassen sich deutlich mehr dieser spezifischen Proteine nachweisen als und rechts, was auf einen aggressiveren Krebs schließen lässt.

Originalveröffentlichung

Weitere News aus dem Ressort Wissenschaft

Meistgelesene News

Weitere News von unseren anderen Portalen