Discovery of a novel vulnerability in aggressive lymphoma could change future therapy

28-Apr-2026
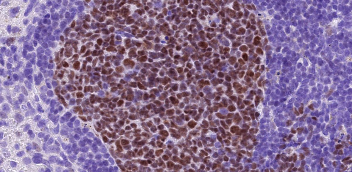
Copyright: Kristie Bariboloka / image visualised and analysed using QuPath

Researchers have discovered that a key protein, cFLIP, is essential for regulating programmed cell death in lymphoma cells. This discovery provides insights into the mechanisms of this cancer’s cell death evasion and could open up new therapeutic routes for patients who do not respond to therapies / publication in “Blood”

A research team at the University of Cologne’s Center for Molecular Medicine Cologne (CMMC) has discovered that the protein cFLIP can be used to override the defences of Diffuse Large B Cell Lymphoma (DLBCL) against programmed cell death. These defences often cause treatments to be ineffective because they allow the cancer cells to survive. The results are especially relevant to ABC-DLBCL, a specific subtype of the blood cancer that has poor patient prognosis and survival outcome. The new study has appeared under the title “Expression of cFLIP in B cells is essential for diffuse large B cell lymphoma pathogenesis” in the journal Blood.

DLBCL is the most common type of non-Hodgkin lymphoma, a cancer that develops from white blood cells called lymphocytes. Current frontline immunochemotherapy, combining the antibody rituximab with chemotherapy agents, cures approximately 60 percent of patients. Despite this major achievement, approximately 50 percent of treated patients relapse or do not respond to treatment, making further therapy attempts risky and challenging.

This creates an urgent need to find alternative therapies by determining vulnerabilities in DLBCL cells. Finding such vulnerabilities is complicated by the fact that DLBCL is highly heterogeneous and DLBCL cells evade programmed cell death (apoptosis) by overexpressing an anti-apoptosis factor called BCL2. In doing so, these lymphoma cells gain a survival advantage that allows them to indefinitely proliferate and form tumours, with detrimental consequences for patients’ health and survival. Therefore, it is critical to understand the mechanisms controlling cell death in lymphoma cells and find ways to overcome the apoptosis blockage imposed by BCL2 overexpression to re-activate cell death.

The BCL2 protein tightly controls one arm of cell death pathways called intrinsic apoptosis. However, cells can also die via another pathway called extrinsic apoptosis, which is tightly controlled by the cFLIP protein. The research team led by Dr Alessandro Annibaldi at the CMMC discovered that in addition to BLC2, DLBCL cells also overexpress cFLIP. By doing so, they are able to block both the intrinsic and extrinsic apoptotic arm and become very resistant to death.

“DLBCL cells build roadblocks to interrupt the intrinsic and extrinsic cell death avenues to try to reach immortality and gain a survival advantage over normal cells. Our goal was to identify and then remove the roadblock on the extrinsic apoptosis avenue, to re-programme the fate of these cells and push them to travel along the avenue that eventually leads to their death. The existence of such a roadblock has been hypothesized for many years, but our group was the first to find it and understand its clinical relevance,” says Alessandro Annibaldi.

The research group employed state-of-the-art cell and molecular biology techniques as well as a preclinical mouse model for DLBCL. They found that targeting cFLIP could override the BCL2 overexpression-mediated blockade of apoptosis and re-activate cell death in lymphoma cells. Their study reveals that cFLIP is overexpressed specifically in the subtype ABC-DLBCL, and that its genetic deletion prevents lymphoma development by re-sensitizing lymphoma cells to death signals.

This research finding provides the proof of principle that the extrinsic apoptosis pathway can be exploited to breach the resistance of DLBCL cells to apoptosis driven by BCL2 overexpression and intrinsic apoptosis blockage. This study thus provides the rationale for the development of drugs that target cFLIP. Such drugs, alone or in combination with other drugs, would be able to kill ABC-DLBCL cells, no matter which mutations they bear, as long as they express cFLIP.

Looking forward, the researchers are confident that the development of cFLIP-specific inhibitory molecules and their validation in pre-clinical models of DLBCL will provide more insights into the translational potential of this discovery. “Targeting cFLIP in combination with existing therapies represents a viable option worth exploring for patients unresponsive to DLBCL standard treatment,” says Kristie Bariboloka, the doctoral researcher who spearheaded the research work at the lab.

This work was conducted in the context of Collaborative Research Centre (CRC) 1530 “Elucidation and targeting of pathogenic mechanisms in B cell malignancies” funded by the German Research Foundation (DFG). The extensive support of the CRC and the associated research groups was decisive for the realization of this work.

Original publication

Other news from the department science

Most read news

More news from our other portals

So close that even
molecules turn red...

See the theme worlds for related content

Topic world Antibodies

Antibodies are specialized molecules of our immune system that can specifically recognize and neutralize pathogens or foreign substances. Antibody research in biotech and pharma has recognized this natural defense potential and is working intensively to make it therapeutically useful. From monoclonal antibodies used against cancer or autoimmune diseases to antibody-drug conjugates that specifically transport drugs to disease cells - the possibilities are enormous

View topic world
Topic world Antibodies

Topic world Antibodies

Antibodies are specialized molecules of our immune system that can specifically recognize and neutralize pathogens or foreign substances. Antibody research in biotech and pharma has recognized this natural defense potential and is working intensively to make it therapeutically useful. From monoclonal antibodies used against cancer or autoimmune diseases to antibody-drug conjugates that specifically transport drugs to disease cells - the possibilities are enormous